This is one of the causes of severe pain in the shoulder. Calcium crystals are deposited within the rotator cuff tendons, usually supraspinatus. There is no known trigger for this and it is not related to injury.
The tendon becomes swollen and this can lead to impingement. The body attempts to dissolve the calcium and it is at this time that the severe pain tends to occur. This resorption leads to more swelling within the tendon and chemical irritation of the surrounding tissues.
Features

The pain can be so severe that patients often attend accident and emergency for pain control. The diagnosis is usually confirmed by plain X-ray. After an episode of severe pain a more chronic pain can persist, which is similar to shoulder impingement, with pain in the outer arm affected by activities away from the body.
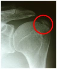
X-ray showing calcific deposit in supraspinatus tendon.
![]()
![]()
![]()
Not all patients get an episode of severe pain and some can have the more chronic ache similar to impingement only. Treatment is initially aimed at pain control with anti-inflammatory medication. Subacromial injection can also be used to relieve pain in acute severe episode.
Some calcium deposits will undergo spontaneous resolution. Ultrasound guided injection and needling of the calcific deposit has been used to attempt to break up the deposit.
If conservative measures fail and symptoms persist then surgery is indicated. This takes the form of arthroscopic removal of the calcific deposit and subacromial decompression. The aim is to remove as much of the calcific deposit as is possible and decompress the tendon. Figure 3 shows the calcium being released from the tendon at arthroscopy.



The video below shows the deposit being localised and the calcium being removed.
Recovery is aided by physiotherapy, the shoulder is rested for a few days only with pendular and active assisted exercises starting straight away.
Where the calcium is removed a healing reaction takes place in the tendon, this can result in an ongoing ache in the shoulder after surgery, but does settle in time.
Andrew Brooksbank
This is one of the causes of severe pain in the shoulder. Calcium crystals are deposited within the rotator cuff tendons, usually supraspinatus. There is no known trigger for this and it is not related to injury.
The tendon becomes swollen and this can lead to impingement. The body attempts to dissolve the calcium and it is at this time that the severe pain tends to occur. This resorption leads to more swelling within the tendon and chemical irritation of the surrounding tissues.
Features



The pain can be so severe that patients often attend accident and emergency for pain control. The diagnosis is usually confirmed by plain X-ray. After an episode of severe pain a more chronic pain can persist, which is similar to shoulder impingement, with pain in the outer arm affected by activities away from the body.
X-ray showing calcific deposit in supraspinatus tendon.
![]()
![]()
![]()
Not all patients get an episode of severe pain and some can have the more chronic ache similar to impingement only. Treatment is initially aimed at pain control with anti-inflammatory medication. Subacromial injection can also be used to relieve pain in acute severe episode.
Some calcium deposits will undergo spontaneous resolution. Ultrasound guided injection and needling of the calcific deposit has been used to attempt to break up the deposit.
If conservative measures fail and symptoms persist then surgery is indicated. This takes the form of arthroscopic removal of the calcific deposit and subacromial decompression. The aim is to remove as much of the calcific deposit as is possible and decompress the tendon. Figure 3 shows the calcium being released from the tendon at arthroscopy.



The video below shows the deposit being localised and the calcium being removed.
Recovery is aided by physiotherapy, the shoulder is rested for a few days only with pendular and active assisted exercises starting straight away.
Where the calcium is removed a healing reaction takes place in the tendon, this can result in an ongoing ache in the shoulder after surgery, but does settle in time.
Andrew Brooksbank
Febuary 2012


Make a consultantion appointment wiith Mr Andrew Brooksbank at BMI Ross Hall Glasgow.
Frequently asked questions about appointments, treatment, recovery and insurance/payments.